高炉出铁沟是引导高温铁水和熔渣的通道,其材质对抗冲刷性、抗渣性、抗热震稳定性以及抗氧化性要求较高。目前在出铁沟用浇注料中,釆用较多的是水泥结合Al₂O₃-SiC-C质浇注料。由于水泥在高温下易与材料中的SiO₂微粉产生低熔点相而影响材料的使用寿命,因此,为使高炉出铁沟达到长寿化,采用低水泥或超低水泥结合浇注料已成为目前铁沟浇注料研究的主要方向之一。为此,在不明显影响Al₂O₃-SiC-C质铁沟浇注料的常温强度,且高温下还不生成过多低熔点物相的情况下,本工作主要研究水泥作为结合剂与低水泥+ρ-Al₂O₃作为结合剂对Al₂O₃-SiC-C质铁沟浇注料性能的影响。
试验
1.1 原料
试验用主要原料有特级矾土(8〜5mm、5〜3mm、3〜1mm、1〜0mm)、碳化硅(200目)、活性氧化(2μ)、煅烧氧化铝(5μ)、二氧化硅微粉、Si粉和球状沥青等,结合剂分别釆用铝酸钙水泥(secar71)和铝酸钙水泥(secar71)+ρ-Al₂O₃(d50=6μ)。主要原料的化学组成见表1。
1.2 试验制备及性能检测
按下表2配料。将混练均匀好的浇注料釆用振动成型为40×40×160mm的试样,室温养护24h后脱模,分别于110℃×24h和15OO℃×3h等条件下进行热处理,然后测定试样的体积密度、显气孔率、线变化率、抗折强度和耐压强度等常温物理性能以及试样的高温抗折强度和抗渣性能。
试样的高温抗折强度在1400℃×90min条件下采用三点弯曲法测定。
抗渣试验釆用静态坩埚法:将浇注料振动成型为坩埚,自然养护24后脱模,110℃×24h处理后放入20克首钢高炉渣,于1500℃处理3h,自然冷却后沿坩埚轴线切开,观察试样的侵蚀情况。
结果与讨论
2.1 浇注料的常温物理性能
经110℃×24h和1500℃×3h(埋碳)热处理后,试样的常温物理性能见表3。结果表明:经110℃热处理后,1#试样的显气孔率相对较小,体积密度、常温抗折强度和常温耐压强度略有偏大.这是因为在1#试样中,(α-Al₂O₃微粉颗粒较细,活性相对较高,试样的减水效果更好,这样使浇注料的颗粒堆积更紧密,致使1#试样显气孔率相对较小,体积密度偏大。在强度上,1#试样主要以水泥结合,强度较大;而2#试样是以水泥和ρ-Al₂O₃结合为主,虽然2#试样中水泥含量较少,但ρ-Al₂O₃在常温下水化能产生强度,所以导致强度与1#试样相比变化不大。经1500℃3h(埋碳)热处理后,1#试样与2#试样相比,显气孔率相对偏小,体积密度、常温耐压强度和常温抗折强度相对较大。这主要是因为1#试样中SiO₂微粉同纯铝酸钙水泥在高温下容易发生反应,生成钙长石低熔点相相对较多,试样的烧结程度相对较大。而2#试样由于加入的纯铝酸钙水泥含量相对较低,所以生成的钙长石低熔点相较少,且ρ-Al₂O₃微粉在烧结过程中由于没有液相产生,所以2#试样的烧结程度不如1#试样。这从试样的烧后线变化图1也可以得到反应。
2.2 浇注料的高温抗折强度
图2给出了1#、2#试样在1400℃保温90min下的高温抗折强度。由图可知,2#试样的高温抗折强度是1#试样的高温抗折强度的2倍。这是因为1#试样中纯铝酸钙水泥含量较高,纯铝酸钙水泥与SiO₂微粉在高温下易形成低熔点相,而2#试样中纯铝酸钙水泥含量相对较低,高温下生成的低熔相也相对较少,且ρ-Al₂O₃在高温下无低熔点相生产,只有晶型转变。另外,ρ-Al₂O₃的水化产物Al(0H)3和AlOOH分解生成的高活性氧化铝能促进材料的固相烧结,所以2#试样的高温结合强度明显较大。对铁沟浇注料而言,其高温结合强度可显著提高材料对熔融铁水的抗热冲击和耐冲刷能力,减少材料使用过程中的龟裂和剥落,对提高铁沟浇注料的使用寿命具有重要意义。
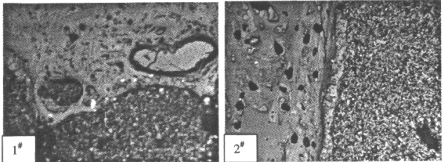
2.3 浇注料的抗渣性
抗渣试验后的试样剖面形貌如图3。由图可看出,1#试样的抗渣性能比2#试样差。这主要是因为高温下铝酸钙水泥与SiO₂微粉形成的钙长石或黄长石等低熔点相较多,使得材料的抗渣性能变差。而以ρ-Al₂O₃作为主要结合剂的2#试样在高温下液相量较少,这是因为2#试样中铝酸钙水泥含量相对较少,伴随高温下产生的液相量也较少,且ρ-Al₂O₃在高温下本身没有低熔相产生,因此2#试样表现出相对较好的抗渣性。
由渣与试样反应界面的显微结构图可以看出,1#试样被渣侵蚀的较为厉害,而2#试样相对较好,这也充分说明以ρ-Al₂O₃作为主要结合剂的试样在抗侵蚀性能上优于以铝酸钙水泥作为主要结合剂的。
结论
经110℃和1500℃(埋碳)热处理后,采用铝酸钙水泥(W,3%)作为结合剂的Al₂O₃-SiC-C浇注料显气孔率较少,体积密度较大,常温耐压强度和常温抗折强度也较大;而采用铝酸钙水泥(w,1%)+ρ-Al₂O₃(w,4%)作为结合剂的Al₂O₃-SiC-C浇注料具有相对较大的高温抗折强度和较优良的抗渣性能。















